产品中心

Fhit rabbit pAb
一键复制产品信息
ES2342
规格: 价格:
50µL ¥1280.00
100µL ¥1980.00

Overview

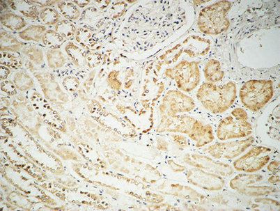
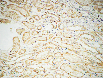
Product name: Fhit rabbit pAb
Reactivity: Human;Rat;Mouse;
Alternative Names: FHIT; Bis(5'-adenosyl)-triphosphatase; AP3A hydrolase; AP3Aase; Diadenosine 5'; 5'''-P1,P3-triphosphate hydrolase; Dinucleosidetriphosphatase; Fragile histidine triad protein
Source: Rabbit
Dilutions: Western Blot: 1/500 - 1/2000. Immunohistochemistry: 1/100 - 1/300. Immunofluorescence: 1/200 - 1/1000. ELISA: 1/10000. Not yet tested in other applications.
Immunogen: The antiserum was produced against synthesized peptide derived from human FHIT. AA range:81-130
Storage: -20°C/1 year
Clonality: Polyclonal
Isotype: IgG
Concentration: 1 mg/ml
Observed Band: 16kD
GeneID: 2272
Human Swiss-Prot No: P49789
Cellular localization: Cytoplasm . Mitochondrion . Nucleus .
Background: This gene, a member of the histidine triad gene family, encodes a diadenosine 5',5'''-P1,P3-triphosphate hydrolase involved in purine metabolism. The gene encompasses the common fragile site FRA3B on chromosome 3, where carcinogen-induced damage can lead to translocations and aberrant transcripts of this gene. In fact, aberrant transcripts from this gene have been found in about half of all esophageal, stomach, and colon carcinomas. Alternatively spliced transcript variants have been found for this gene. [provided by RefSeq, Oct 2009],
关闭

在线咨询

Online consultation

  • 在线咨询
  • 技术支持

关注微信公众号

微信扫一扫立即咨询

微信扫一扫立即咨询

关闭