产品中心

FEN-1 rabbit pAb
一键复制产品信息
ES2336
规格: 价格:
50µL ¥1280.00
100µL ¥1980.00

Overview

Product name: FEN-1 rabbit pAb
Reactivity: Human;Mouse;Rat
Alternative Names: FEN1; RAD2; Flap endonuclease 1; FEN-1; DNase IV; Flap structure-specific endonuclease 1; Maturation factor 1; MF1; hFEN-1
Source: Rabbit
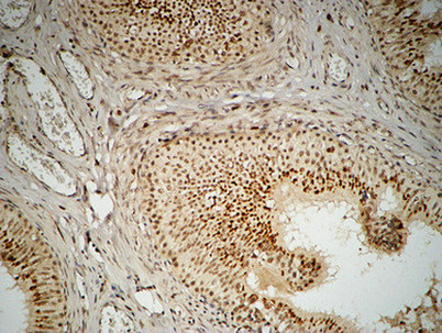
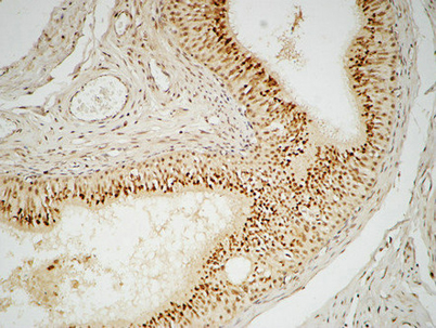
Dilutions: Western Blot: 1/500 - 1/2000. Immunohistochemistry: 1/100 - 1/300. Immunofluorescence: 1/200 - 1/1000. ELISA: 1/20000. Not yet tested in other applications.
Immunogen: The antiserum was produced against synthesized peptide derived from human FEN1. AA range:86-135
Storage: -20°C/1 year
Clonality: Polyclonal
Isotype: IgG
Concentration: 1 mg/ml
Observed Band: 42kD
GeneID: 2237
Human Swiss-Prot No: P39748
Cellular localization: [Isoform 1]: Nucleus, nucleolus. Nucleus, nucleoplasm. Resides mostly in the nucleoli and relocalizes to the nucleoplasm upon DNA damage.; [Isoform FENMIT]: Mitochondrion .
Background: The protein encoded by this gene removes 5' overhanging flaps in DNA repair and processes the 5' ends of Okazaki fragments in lagging strand DNA synthesis. Direct physical interaction between this protein and AP endonuclease 1 during long-patch base excision repair provides coordinated loading of the proteins onto the substrate, thus passing the substrate from one enzyme to another. The protein is a member of the XPG/RAD2 endonuclease family and is one of ten proteins essential for cell-free DNA replication. DNA secondary structure can inhibit flap processing at certain trinucleotide repeats in a length-dependent manner by concealing the 5' end of the flap that is necessary for both binding and cleavage by the protein encoded by this gene. Therefore, secondary structure can deter the protective function of this protein, leading to site-specific trinucleotide expansions
关闭

在线咨询

Online consultation

  • 在线咨询
  • 技术支持

关注微信公众号

微信扫一扫立即咨询

微信扫一扫立即咨询

关闭