产品中心

FBP3 rabbit pAb
一键复制产品信息
ES2335
规格: 价格:
50µL ¥1280.00
100µL ¥1980.00

Overview

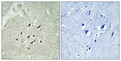
Product name: FBP3 rabbit pAb
Reactivity: Human;Mouse;Rat
Alternative Names: FUBP3; FBP3; Far upstream element-binding protein 3; FUSE-binding protein 3
Source: Rabbit
Dilutions: Western Blot: 1/500 - 1/2000. Immunohistochemistry: 1/100 - 1/300. ELISA: 1/20000. Not yet tested in other applications.
Immunogen: The antiserum was produced against synthesized peptide derived from human FUBP3. AA range:201-250
Storage: -20°C/1 year
Clonality: Polyclonal
Isotype: IgG
Concentration: 1 mg/ml
Observed Band: 60kD
GeneID: 8939
Human Swiss-Prot No: Q96I24
Cellular localization: Nucleus .
Background: function:May interact with single-stranded DNA from the far-upstream element (FUSE). May activate gene expression.,PTM:Phosphorylated upon DNA damage, probably by ATM or ATR.,similarity:Contains 4 KH domains.,tissue specificity:Detected in a number of cell lines.,
关闭

在线咨询

Online consultation

  • 在线咨询
  • 技术支持

关注微信公众号

微信扫一扫立即咨询

微信扫一扫立即咨询

关闭