产品中心

FAS rabbit pAb
一键复制产品信息
ES2326
规格: 价格:
50µL ¥1280.00
100µL ¥1980.00

Overview

Product name: FAS rabbit pAb
Reactivity: Human;Rat;Mouse;;Canine
Alternative Names: FAS; APT1; FAS1; TNFRSF6; Tumor necrosis factor receptor superfamily member 6; Apo-1 antigen; Apoptosis-mediating surface antigen FAS; FASLG receptor; CD antigen CD95
Source: Rabbit
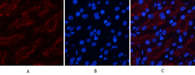
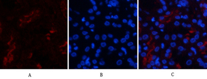
Dilutions: WB 1:500-2000, IF 1:50-300, IHC 1:50-300
Immunogen: The antiserum was produced against synthesized peptide derived from human FAS. AA range:257-306
Storage: -20°C/1 year
Clonality: Polyclonal
Isotype: IgG
Concentration: 1 mg/ml
Observed Band: 42kD
GeneID: 355
Human Swiss-Prot No: P25445
Cellular localization: [Isoform 1]: Cell membrane ; Single-pass type I membrane protein . Membrane raft .; [Isoform 2]: Secreted.; [Isoform 3]: Secreted.; [Isoform 4]: Secreted.; [Isoform 5]: Secreted.; [Isoform 6]: Secreted.
Background: The protein encoded by this gene is a member of the TNF-receptor superfamily. This receptor contains a death domain. It has been shown to play a central role in the physiological regulation of programmed cell death, and has been implicated in the pathogenesis of various malignancies and diseases of the immune system. The interaction of this receptor with its ligand allows the formation of a death-inducing signaling complex that includes Fas-associated death domain protein (FADD), caspase 8, and caspase 10. The autoproteolytic processing of the caspases in the complex triggers a downstream caspase cascade, and leads to apoptosis. This receptor has been also shown to activate NF-kappaB, MAPK3/ERK1, and MAPK8/JNK, and is found to be involved in transducing the proliferating signals in normal diploid fibroblast and T cells. Several alternatively spliced transcript variants have been described, s
关闭

在线咨询

Online consultation

  • 在线咨询
  • 技术支持

关注微信公众号

微信扫一扫立即咨询

微信扫一扫立即咨询

关闭