产品中心

ERα rabbit pAb
一键复制产品信息
ES2302
规格: 价格:
50µL ¥1280.00
100µL ¥1980.00

Overview

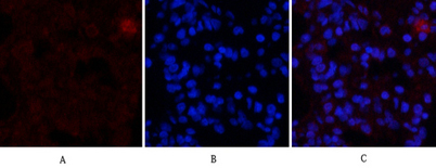
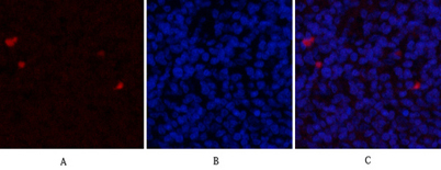
Product name: ERα rabbit pAb
Reactivity: Human;Mouse;Rat
Alternative Names: ESR1; ESR; NR3A1; Estrogen receptor; ER; ER-alpha; Estradiol receptor; Nuclear receptor subfamily 3 group A member 1
Source: Rabbit
Dilutions: Western Blot: 1/500 - 1/2000. Immunohistochemistry: 1/100 - 1/300. Immunofluorescence: 1/200 - 1/1000. ELISA: 1/10000. Not yet tested in other applications.
Immunogen: The antiserum was produced against synthesized peptide derived from human Estrogen Receptor-alpha. AA range:501-550
Storage: -20°C/1 year
Clonality: Polyclonal
Isotype: IgG
Concentration: 1 mg/ml
Observed Band: 66kD
GeneID: 2099
Human Swiss-Prot No: P03372
Cellular localization: [Isoform 1]: Nucleus . Cytoplasm . Cell membrane ; Peripheral membrane protein ; Cytoplasmic side . A minor fraction is associated with the inner membrane.; [Isoform 3]: Nucleus. Cytoplasm. Cell membrane; Peripheral membrane protein; Cytoplasmic side. Cell membrane; Single-pass type I membrane protein. Associated with the inner membrane via palmitoylation (Probable). At least a subset exists as a transmembrane protein with a N-terminal extracellular domain. .; Nucleus. Golgi apparatus. Cell membrane. Colocalizes with ZDHHC7 and ZDHHC21 in the Golgi apparatus where most probably palmitoylation occurs. Associated with the plasma membrane when palmitoylated.
Background: This gene encodes an estrogen receptor, a ligand-activated transcription factor composed of several domains important for hormone binding, DNA binding, and activation of transcription. The protein localizes to the nucleus where it may form a homodimer or a heterodimer with estrogen receptor 2. Estrogen and its receptors are essential for sexual development and reproductive function, but also play a role in other tissues such as bone. Estrogen receptors are also involved in pathological processes including breast cancer, endometrial cancer, and osteoporosis. Alternative promoter usage and alternative splicing result in dozens of transcript variants, but the full-length nature of many of these variants has not been determined. [provided by RefSeq, Mar 2014],
关闭

在线咨询

Online consultation

  • 在线咨询
  • 技术支持

关注微信公众号

微信扫一扫立即咨询

微信扫一扫立即咨询

关闭