产品中心

ApoL2 rabbit pAb
一键复制产品信息
ES1683
规格: 价格:
50µL ¥1280.00
100µL ¥1980.00

Overview

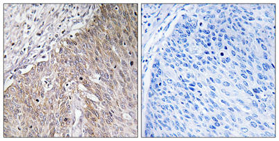
Product name: ApoL2 rabbit pAb
Reactivity: Human;Rat;Mouse;
Alternative Names: APOL2; Apolipoprotein L2; Apolipoprotein L-II; ApoL-II
Source: Rabbit
Dilutions: Western Blot: 1/500 - 1/2000. Immunohistochemistry: 1/100 - 1/300. Immunofluorescence: 1/200 - 1/1000. ELISA: 1/40000. Not yet tested in other applications.
Immunogen: The antiserum was produced against synthesized peptide derived from human APOL2. AA range:191-240
Storage: -20°C/1 year
Clonality: Polyclonal
Isotype: IgG
Concentration: 1 mg/ml
Observed Band: 37kD
GeneID: 23780
Human Swiss-Prot No: Q9BQE5
Cellular localization: Cytoplasm .
Background: This gene is a member of the apolipoprotein L gene family. The encoded protein is found in the cytoplasm, where it may affect the movement of lipids or allow the binding of lipids to organelles. Two transcript variants encoding the same protein have been found for this gene. [provided by RefSeq, Jul 2008],
关闭

在线咨询

Online consultation

  • 在线咨询
  • 技术支持

关注微信公众号

微信扫一扫立即咨询

微信扫一扫立即咨询

关闭